
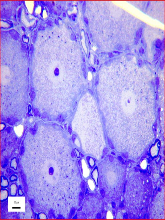
Image above: Microscopy image of Sensory nerve cells, courtesy of Dr R W Banks.
Sensory nerve cells
Sensory nerve cells such as these are located in a swelling, or ganglion, on the dorsal root of a nerve connected to the spinal cord. Each gives rise to a single nerve fibre, or axon, that branches once within the ganglion. One branch enters the spinal cord to make connexions with other nerve cells, while the other passes through peripheral nerves to form a sensory ending in skin, muscle, joints, viscera, etc. The endings are usually specialised to respond variously to touch, pressure, movement, heat, etc. The tissue has been chemically fixed, dehydrated, and embedded in epoxy resin. The section was cut with a glass knife and is 1 micrometre thick. It was stained with toluidine blue for light microscopy.